Les protéines contribuent grandement à la croissance des veaux et le lait de vache en contient de 20 à 28 % par kilogramme. Les protéines du lait de vache peuvent être laitières ou végétales. Les sources de protéines laitières les plus couramment utilisées sont le lait écrémé et le lactosérum en poudre. Si presque toutes les protéines laitières se digèrent facilement, la digestibilité des protéines végétales est beaucoup plus variable.
Un apport excessif ou insuffisant en protéines a des conséquences pour le vache
Il est essentiel que le lait de vache présente la teneur adéquate en protéines : un apport insuffisant de protéines ralentirait la croissance tandis qu’un excès de protéines augmenterait le risque de troubles digestifs. Aussi, les protéines coûtent cher. Mieux vaut donc doser correctement les protéines afin de ne pas grever votre budget. Le laboratoire de Trouw Nutrition a mené diverses études sur la teneur en protéines. La conclusion est sans appel : à quantité égale de lait de vache, un apport en protéines supérieur à 22.5% n’accélère pas la croissance (tableau 1).

Tableau 1. Paramètres de croissance de deux traitements avec différents taux de protéines brutes. Les chiffres indiqués en gras sont sensiblement différents.
Les principaux éléments nutritifs du lait de vache sont la graisse, les protéines et le lactose ou sucre du lait. Le lait contient également des nutriments en plus petites quantités, comme des vitamines, des minéraux et le calcium (illustration 1).

Illustration 1. Composition du lait
Les graisses non digérées augmentent le risque de diarrhée
En marge des sucres, les graisses constituent une source d’énergie essentielle à la croissance du veau, mais il existe une teneur optimale. Il est question non seulement de la quantité de graisses, mais aussi la taille des particules.
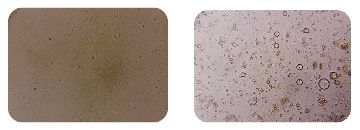
La matière grasse du lait de vache est constituée de petites particules de graisse de 1 à 10 μ (1 μ = 0,000001 m). Cette taille favorise la digestion. Du lait de vache facile à digérer doit être composé de petites molécules de graisse homogènes. Les graisses non digérées augmentent, en effet, le risque de diarrhée.
Le processus de production de Trouw Nutrition garantisse un concentré homogène de molécules de graisse fait de très petites particules de graisse (illustration 2). De quoi favoriser la digestion du lait de vache, en garantissant la stabilité du lait en solution et des équipements (seaux et mélangeurs) propres.
Illustration 2. Représentation de la graisse homogénéisée, avec > 95 % de particules < 2 um (à gauche) et de la graisse mixte (à droite)

L’inconvénient d’un taux de lactose trop élevé
Les laits de vache contiennent généralement entre 40 et 45 % de lactose par kilogramme de matière sèche (kg MS). Le lait de vache présente une teneur en lactose plus faible, généralement de l’ordre de 35 % par kg MS.
Une récente étude réalisée par Trouw Nutrition montre que le lactose mérite une plus grande attention. Des niveaux de lactose plus élevés entraînent une pression supplémentaire sur l'intestin et, par conséquent, une augmentation des risques de digestion sous-optimale. Cela est dû à l'effet du lactose sur l'osmolalité. C’est-à-dire : la quantité de particules de sucres et de minéraux dissoutes dans une concentration. Un niveau élevé de lactose (et donc une osmolalité élevée) signifie que l'eau est attirée vers la zone contenant beaucoup de particules dissoutes, en provenance de la zone contenant peu de particules dissoutes (illustration 1).
L’osmolalité correcte, pour des intestins en meilleure santé

Illustration 1. Représentation schématique du flux d’eau d’une zone à faible quantité de particules de sucres et de minéraux dissoutes vers une zone à forte concentration de particules de sucres et de minéraux dissoutes
Lorsque le veau ingère du lait à forte osmolalité, l’eau est « extraite » du reste du corps et attirée dans les intestins de l’animal. Cela affaiblit la paroi intestinale et retarde la guérison en cas de diarrhée. Il est donc capital de trouver l’osmolalité correcte. La quantité de sucres et de minéraux et aussi la concentration de lait de veau par litre d’eau sont essentielles.

Le niveau d’osmolalité idéal est bien inférieur à 400 mOsm/kg. Un chiffre dont tiennent compte la nouvelle composition et le dernier schéma alimentaire du lait de vache Sprayfo Delta. En plus d’un changement de la quantité de sucre, la quantité de minéraux a aussi été adaptée.